Maxillary mucositis and its correlation to endodontically treated teeth.
Nestor Cohenca, D.D.S., FIADT
6/13/2024
The relationship between teeth and sinus abnormalities has been widely reported in the literature. This association is in part due to the close anatomic relationship between the floor of the maxillary sinus and the roots of the posterior maxillary teeth and may contribute to bacterial infection, toxins and products of pulpal necrosis spreading within the maxillary sinus.
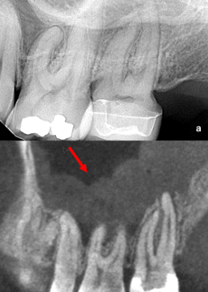
The normal mucosal lining within the maxillary sinus is <1 mm in thickness. Normal sinus mucosa is not visualized on radiographs. Sinus mucosal thickening more than 2 mm is an important indicator of pathology. CBCT imaging has proven to be a valuable resource to evaluate the correlation between apical periodontitis and the maxillary mucosa lining thickness (Fig 1).
&srotate=0)
In a study we recently completed, scans of 1,200 patients were examined by two calibrated blinded examiners. The correlation between the proximity of teeth with endodontic treatment (ET) and the presence of maxillary abnormalities was recorded among patients from different ethnicities.
A total of 1,043 patients were included in the study. Sinus abnormalities were found in 52.1% of the CBCT scans. The minimum and maximum thickness of sinus mucosa were measured at 0.9 and 38.9 mm respectively, with a mean thickness of 8.4 mm. The distance between the apex of teeth to the floor of the sinus was measured between 0 and 20.5 mm, with a mean distance of 1.5 mm.
No statistical significance was found between endodontic therapy and abnormalities in maxillary sinus (p=0.4). No statistical significance was found in mucosal thickness between different populations (p=0.2). A statistically significant correlation was found between the distance from apex to sinus floor and thickness of sinus mucosa (p=0.001) (Fig 2).
&srotate=0)
Conclusions
1. Sinus abnormalities was a very common finding with a 52.1% prevalence of random collected CBCT.
2. There is no correlation between the presence of sinus abnormalities and the presence or absence of RCT in the adjacent tooth.
3. No difference in mucosa thickening was found between populations from USA, South Korea and Israel.
4. Close spatial relationship between teeth and the sinus resulted in thicker sinus abnormalities.
5. Predictable and efficient root canal disinfection and treatment can heal sinus abnormalities (Fig 3).
&srotate=0)
Recent Posts
ToothSOS for emergency care of traumatic dental injuries
ToothSOS for emergency care of traumatic dental injuries
Regenerative Endodontics: What are the options for failed cases?
Regenerative Endodontics: What are the options for failed cases?
Maxillary mucositis and its correlation to endodontically treated teeth.
Prevalence of maxillary mucositis and its correlation to endodontically treated teeth